Last updated: 29 Sep 2025 | 1250 Views |
CIQTEK Field Emission Scanning Electron Microscope (FE-SEM)
ให้ข้อมูลเชิงลึกที่สำคัญเกี่ยวกับกลไกระดับจุลภาคและนาโนที่อยู่เบื้องหลังปรากฏการณ์นี้ เปิดโอกาสให้นักวิทยาศาสตร์เข้าใจโครงสร้างผิวหนังที่ซับซ้อนของกิ้งก่าได้อย่างละเอียด
ส่วนที่ 1: กลไกการสร้างสีของกิ้งก่า
1.1 การแบ่งประเภทตามกลไกการเกิด: สีจากรงควัตถุ (Pigmented Colors) และสีเชิงโครงสร้าง (Structural Colors)
ในธรรมชาติ สีของสัตว์สามารถแบ่งออกเป็น 2 ประเภท ตามกลไกการเกิด ได้แก่ สีจากรงควัตถุ (Pigmented Colors) และ สีเชิงโครงสร้าง (Structural Colors)
Pigmented Colors
เกิดจากการเปลี่ยนแปลงความเข้มข้นของรงควัตถุ (pigments) และผลรวมของสีต่าง ๆ ที่ทับซ้อนกัน คล้ายกับหลักการของ "แม่สี"
Structural Colors
เกิดจากการสะท้อนของแสงจากองค์ประกอบทางสรีรวิทยาที่มีโครงสร้างละเอียด ส่งผลให้เกิดความยาวคลื่นของแสงสะท้อนที่ต่างกัน หลักการพื้นฐานของสีเชิงโครงสร้างนี้ขึ้นอยู่กับ หลักการทางแสง (optical principles) เป็นสำคัญ
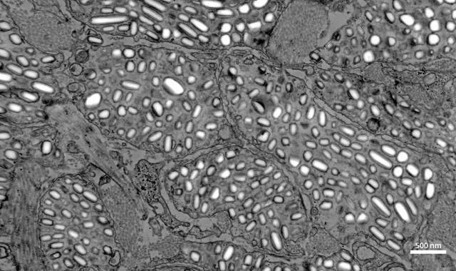
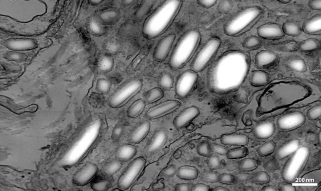
1.2 โครงสร้างของเกล็ดกิ้งก่า: ข้อมูลเชิงลึกจากภาพถ่าย SEM
ภาพต่อไปนี้ (รูปที่ 1-4) แสดงลักษณะของ อิริโดฟอร์ (iridophores) ในเซลล์ผิวของกิ้งก่า โดยใช้ CIQTEK SEM5000Pro – Field Emission Scanning Electron Microscope
อิริโดฟอร์มีการจัดเรียงเชิงโครงสร้างที่คล้ายกับ แผ่นเลี้ยวเบน (diffraction gratings) และเราเรียกโครงสร้างเหล่านี้ว่า แผ่นผลึก (crystalline plates) แผ่นผลึกเหล่านี้สามารถสะท้อนและกระเจิงแสงที่มีความยาวคลื่นแตกต่างกันได้

ส่วนที่ 3: ความก้าวหน้าในการวิจัยสีของกิ้งก่าด้วย CIQTEK Field Emission SEM
ซอฟต์แวร์ “Automap” ที่พัฒนาโดย CIQTEK สามารถใช้ในการทำการวิเคราะห์เชิงโครงสร้างขนาดใหญ่ (large-scale macro-structural characterization) ของเซลล์ผิวกิ้งก่า โดยครอบคลุมพื้นที่ได้สูงสุดถึงระดับ เซนติเมตร
ดังนั้น ไม่ว่าจะเป็นการตรวจสอบรายละเอียดความละเอียดสูง (high-resolution details) หรือการวิเคราะห์พื้นที่ในระดับมหภาค (macroscopic area characterization) กล้องจุลทรรศน์อิเล็กตรอนของ CIQTEK ก็สามารถตอบสนองความต้องการได้อย่างครบถ้วน

กล้องจุลทรรศน์อิเล็กตรอนแบบสแกนปล่อยสนาม CIQTEK (CIQTEK Field Emission Scanning Electron Microscope: SEM)
มีข้อได้เปรียบด้านการถ่ายภาพความละเอียดสูง และยังรองรับการติดตั้งเพิ่มเติมด้วย เครื่องตรวจจับชนิดใหม่ Scanning Transmission Electron Microscopy (STEM) ได้อีกด้วย โดยรวมเอาคุณสมบัติของทั้ง Scanning Electron Microscopy และ Transmission Electron Microscopy เข้าด้วยกัน เพื่อให้ได้ภาพความละเอียดสูงที่เกิดจากอิเล็กตรอนส่งผ่าน ภายใต้แรงดันเร่ง (accelerating voltage) 30 kV หรือต่ำกว่า
สิ่งนี้มอบข้อได้เปรียบที่โดดเด่นสำหรับการสังเกตตัวอย่างทางชีววิทยาที่ไวต่อการฉายลำอิเล็กตรอน
10 Oct 2019