CIQTEK FE-SEM – See Beyond the Limits of Resolution.
CIQTEK Field Emission Scanning Electron Microscopes (FE-SEM) deliver ultra-high resolution imaging with the reliability of a Schottky field emission electron gun. Designed for advanced materials research, semiconductors, nanotechnology, and life sciences, CIQTEK FE-SEMs provide unmatched clarity at both high and low accelerating voltages, making them ideal for delicate and non-conductive samples.



CIQTEK SEM4000Pro is an analytical FE-SEM with a high-brightness, long-life Schottky electron gun.
Its three-stage electromagnetic lens ensures superior performance for EDS/EDX, EBSD, WDS, and more.
With low-vacuum mode and advanced detectors, it excels at imaging non-conductive specimens.
CIQTEK SEM5000Pro is a high-resolution Schottky FE-SEM with advanced “Super-Tunnel” electron optics.
It delivers crossover-free beam paths, minimized aberrations, and reduced charging effects.
Achieving 1.1 nm at 1 kV, it enables clear imaging of non-conductive samples with minimal damage.
The CIQTEK SEM5000X is an ultra-high resolution FESEM with optimized electron optics column design, reducing overall aberrations by 30%, achieving ultra-high resolution of 0.6 nm@15 kV and 1.0 nm@1 kV. Its high resolution and stability make it advantageous in advanced nano-structural materials research, as well as the development and manufacturing of high-technology node semiconductor IC chips.

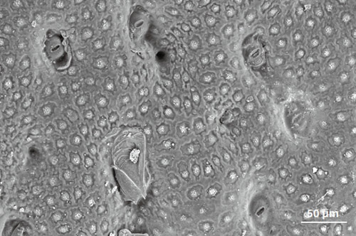
Pineapple Skin, Low Vacuum 100 Pa / 10 kV / BSED

The pore structure of SBA-15 silica-based mesoporous material characterization, In-lens electron detector image at 500 V low voltage without conductive coating (under dual deceleration mode with In-lens beam deceleration + specimen stage tandem beam deceleration).

ZSM-8 molecular sieve, a typical catalyst across multiple frontier research fields. Low-voltage imaging without conductive coating provides direct characterization of the surface details of the molecular sieve particles.